
Crown lengthening surgery is a procedure that is carried out by your periodontist to expose more tooth structure (Figure 9A). Crown lengthening is normally required either for functional reasons, or for cosmetic reasons.

Functional crown lengthening is required if there is insufficient tooth structure to enable your dentist to provide a retentive and long-lasting restoration (Figures 9B & C). This may be because your tooth is broken, worn, or cracked or if there is extensive decay extending below the gum line.

Crown lengthening to expose more sound tooth structure.
Crown lengthening can also be carried out for cosmetic reasons to expose more tooth structure to improve the appearance of the teeth or to reposition the gum tissues to an aesthetically acceptable position. This is a procedure that is often required where a patient has a “gummy smile” to reduce the amount of gum that is showing (Figure 9D, 9E and 9F).

Patient has worn their teeth down and has insufficent tooth structure for restoration with crowns.

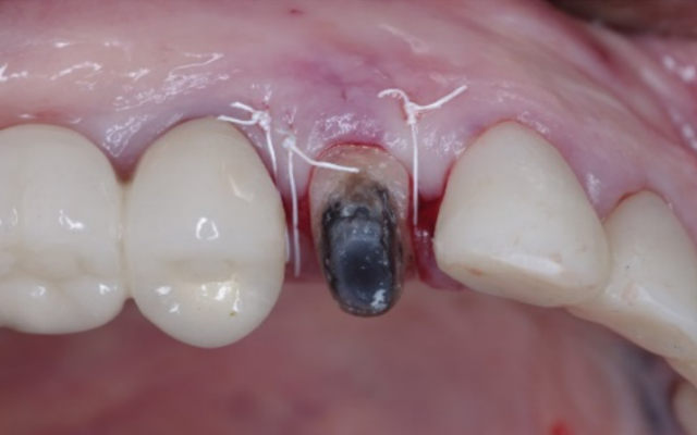
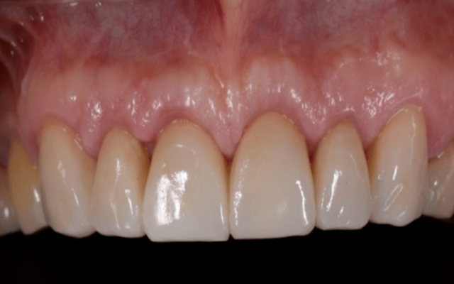
Following crown lengthening, the gum has been repositioned to expose enough tooth structure for restoration with crowns.

The teeth have now been restored with long lasting crowns.

Your periodontist will assess whether there is sufficient crown and root structure left to benefit from crown lengthening, and then advise you on the details of the procedure as well as the outcome. The crown lengthening procedure is normally carried out under local anaesthetic. It may involve removal of some of the gum and/or underlying bone. As it is a minor surgical procedure stitches are often used. The number of teeth that need treatment as well as the amount of gum repositioning will affect the healing time.