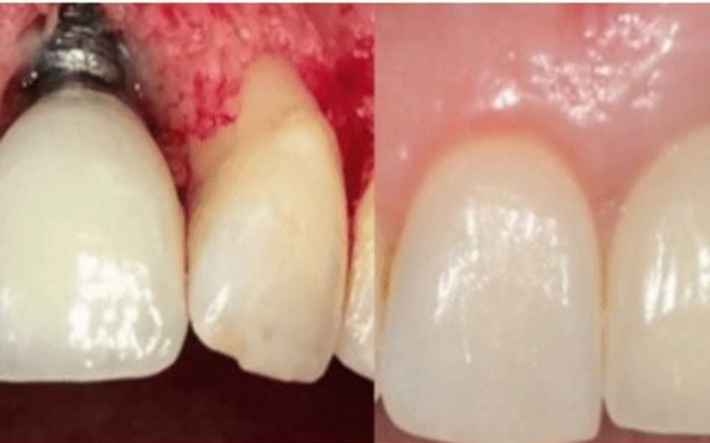
When you attend a periodontist for dental implant replacement therapy, the periodontist may recommend soft tissue grafting along with the implant treatment. This may be recommended to be undertaken prior to, at the same time as implant placement or at the time of uncovering of the implant. The soft tissue augmentation procedure may be recommended to enhance the compromised appearance of an existing implant (Figure 17).
Whilst dental implants require a minimum bone volume to completely cover all of the implant, the gum covering the implant is of paramount importance. Whilst the early days of implant dentistry mainly focused on the bone aspect of the implant procedures, nowadays the focus is on both surrounding hard and soft tissues.

The soft tissue component around dental implants is important both in quality and quantity. It should resemble that of the neighbouring teeth with a collar of firm pink gum. This type of gum makes it easier for daily cleaning and is more resistant to recession in the future. In terms of quantity, the thickness of the gum around the neck of the implant is critical as it is biologically protecting the underlying components as well as playing a significant role in the aesthetics by masking the colour of the components which are located under the gum.
The soft tissue grafting around dental implants is mainly undertaken with tissue generally harvested from the palate of the patient. The harvested graft is placed at the area of interest and sutured in place. These procedures, which are usually undertaken by a periodontist, are generally minimally invasive and the recovery is usually fast and uneventful. You may be offered some different types of grafts from animal or human origin in certain clinical scenarios, this may be discussed with your periodontist.