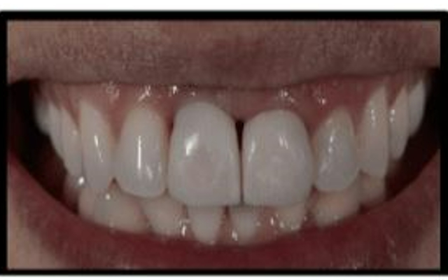
Dental implants to replace teeth has been as revolutionary to dentistry as the use of joint replacement in Orthopaedic Surgery. The ability to replace a worn joint whether it be a hip, knee or shoulder can restore function, increase mobility and improve the quality of life. The same can be said for the replacement of teeth which are missing, painful or that require replacement. Dental implants improve the quality of life for the individual by restoring both appearance and the ability to chew (Figure 18).

However, dental implants are not without their problems and every implant can become a problem. We have all heard of cases where joint replacement surgery has not given a good result. The outcome for the joint surgery is poor with ongoing pain or a suboptimal outcome.
Careful selection of your implant surgeon is necessary and should be an experienced clinician, such a periodontist who are specialists and have additional training in implant surgery, in association with a dentist or specialist prosthodontist to place the teeth on the implant.

Cosmetic problems relate to the appearance of the final tooth and the surrounding gum. They can be a result of the surgical placement or the restoration on the implant. The implant is supported by bone and the bone in an area where a tooth was removed resorbs over time and can lead to gum recession. Part of implant placement may involve a bone graft to overcome this. However, poor diagnosis and treatment planning as well as implant positioning can lead to this problem. Gum recession around implants is often difficult or impossible to fix. Gum recession usually means a longer tooth. If the crown itself is the problem the restoring dentist may be able to fix it.

Bite problems relate to the way the teeth meet or bite on the implant tooth/teeth. The tooth/teeth supported by an implant(s) should feel comfortable. The implant must be well placed, healthy and the tooth/teeth or denture constructed to fit the space. It should be cleansable and not have food getting stuck in the gaps between the teeth and implant. When biting together you should not feel that you are biting on the implant, or it is propping your teeth apart. Too much force on an implant can result in the tooth becoming loose or bits of the tooth breaking off. Very rarely the implant componentry can break. However, the bite on an implant change over time and needs regular assessment. This change in loading as the bite changes may affect to survival of the implant.