Gum recession is when the gum around the teeth had receded exposing the roots of the affected teeth.
Causes of receded gums on teeth:

Main reason why patients need gum graft on teeth:
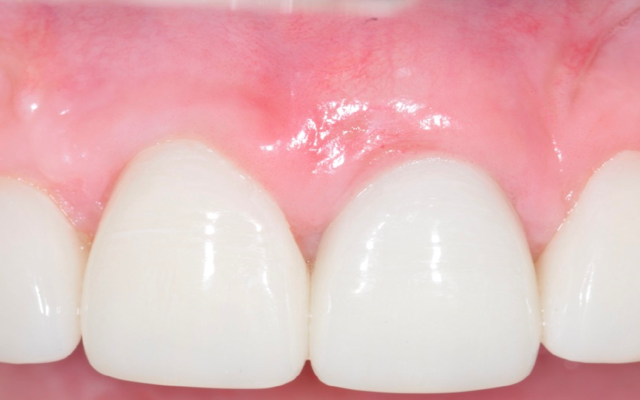
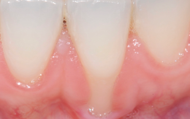
Gum grafting on teeth is a periodontal surgical procedure where the patient’s own gum is repositioned upward (Figure 12A-12B) or if the gum is thin or receded (Figure C), extra gum can be harvested from the roof of the mouth.

The harvested gum graft is sutured or tied up on the exposed root surfaces to cover the receded or exposed roots of the teeth (Figure 12D). There is also a relatively new technique where a collagen graft, usually derivative from porcine (xenograft), manufactured by a dental company is used to cover the root surface.

This is to avoid the harvesting of gum from the roof of the mouth, producing less surgical pain after the procedure. The predictability of this “out of the packet gum graft” is still being investigated as there is limited research available when compared to the patients’ harvested gum.

Use of Emdogain or Enamel Matrix Derivative (EMD) with the Gum graft.
A product derived from “tooth protein” of minipigs available commercially in a syringe that can be used with the gum graft surgery. There are some studies that show the addition of EMD with gum graft can produce a thicker gum and minimise post-surgical pain. The used of this product can be discussed with the treating doctor to find out if there is an advantage on using this product in each individual case.
